Skip to main content Accessible Version
Air Abrasion
No More Drill? I'm Thrilled!

Air abrasion is a procedure that uses a tiny wand that propels minuscule particles of a substance known as aluminum oxide under high pressure.

Air Abrasion | Dentist
Leading-Edge Technology Streamlines Procedures
Call Our Office

Air Abrasion

Many people fear the sound of the dental drill (technically called a handpiece) when they visit the dentist. These drills are used to remove cavities, old fillings, prepare teeth for crowns, veneers, etc. What if I told you that there exists a technology that doesn’t require the whining drill to accomplish some of these procedures? No, I’m not talking lasers, though they do exist and can circumvent the drill sometimes. I’m referring to a technology known as air abrasion.

What Is Air Abrasion?

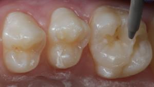
Air abrasion in Rogers, AR is basically a tiny little wand that propels minuscule particles of a substance known as aluminum oxide (27 microns in diameter; 27/1,000 of a millimeter wide) under high pressure. These particles use kinetic energy rather than mechanical energy (as a bur spun by a drill does) to gently “blast away” small cavities. The neatest thing of all is that many smaller cavities can be removed painlessly with no local anesthetic! This is possible because the particles generate very little friction when they gently remove the decayed tooth structure. Burs generate huge amounts of friction, which heats up the tooth structure. This is why local anesthetic is usually required when a conventional drill and bur are used. Less friction with air abrasion spells no pain and no anesthetic the majority of the time!

Air abrasion is akin to a sandblaster. If you have ever watched someone sandblasting wood or stone, there is no cracking along the perimeter of the cut. This is possible due to the kinetic energy produced by the sandblaster, which generates much less friction than a drill. The normal drill and bur are akin to an electric drill and a screw. Have you ever carefully watched a drill sink a screw into a piece of wood? Numerous cracks radiate out from the center of the hole that the screw is creating as it is drilled into place. This is what happens when burs hit teeth. They tend to radiate cracks outward from the center, which can turn into problems for the tooth over the years as the cracks weaken what is left of the tooth.

Air abrasion is typically used to remove small cavities. Anything medium to large generally requires the use of the dental handpiece and the burs as the softer, larger cavities are not amenable to removal via the tiny particles under pressure. White or composite fillings are bonded into these very small and conservative holes. This bonding process is typically painless and only takes a few minutes.

Is Air Abrasion Right for Me?

Advantages of Air Abrasion:

  • Allows us to treat multiple areas of the mouth in the same visit since little to no anesthesia is required
  • Greatly reduces the need for anesthesia for smaller fillings
  • No pressure, sound, heat, or vibration is generated
  • Minimally invasive; less tooth structure is removed than with normal conventional drilling
  • Reduces chipping and micro-fracturing of tooth structure, preserving more healthy tooth structure
  • Allows the dentist to penetrate porcelain crowns as needed without destroying the old crown, as oftentimes happens with the conventional drill bit
  • Can remove old composite white fillings, often without any anesthesia

Disadvantages of Air Abrasion:

  • Larger, softer cavities are not amenable to this modality as the powder will not remove grossly softened tooth structure
  • Reserved for the use of smaller cavities
  • Will not remove old silver amalgam fillings

Would You Like to Learn More About Air Abrasion?

Air abrasion is particularly well suited for children who have new, smaller cavities on permanent teeth since the process is so conservative. Adults too can benefit from the minimally invasive nature of this modality. A dental patient who religiously sees their dentist for regular checkups and presents with a tiny new cavity is the perfect candidate for air abrasion. In addition, the metal-free white fillings that are placed in these smaller holes tend to outlast the more invasive, larger fillings necessary after the use of the drill. This is due to the smaller surface area of filling being exposed to chewing over time.

Contact our Rogers dental office at (479) 876-8000 if you have more questions about air abrasion or would like to schedule your next dental appointment.

*** Clinical photos are original cases that were accomplished personally by Dr. Nick ***

Meet Our Doctor:

Dr. Nick Yiannios

Born in New Haven, Connecticut, Dr. Nick Yiannios was the firstborn of a Greek immigrant who traveled to the U.S. to seek his Ph.D. in Organic Chemistry. Sharing his father’s passion for the arts and sciences, after high school, Nick Yiannios traveled to Texas seeking an education in microbiology, that branch of science that deals with microorganisms. After obtaining his B.S. in microbiology from Texas A&M University, his passions naturally led him into the dental profession. In 1993, Dr. Nick Yiannios graduated from the University of Texas Health Science Center at San Antonio ...

Want to Learn More About Our Advanced Technology?
Talk With Our Team