Replacing Missing Teeth
When teeth are lost, there are 3 basic options (in descending order of quality) to replace the tooth for esthetics and/or function:
- Dental implants
- Bridges
- Removable dentures
Dental Implants
Implants involve a “screw” in the jaw bone below the gums to which a crown can months later be attached to above the gumline. There must be enough bone to surround the implant for a successful outcome. Sometimes the bone in the area needs to be augmented or grafted. Implant placements to crown insertion can take between 3-7 months. Every case is different. See dental implant section.
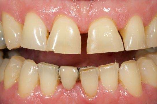
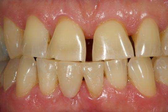
Bridges
Bridges involve attaching to adjacent teeth, hanging the missing tooth from the adjacent teeth. Bridges can sometimes be done the same day, but most cases involve several weeks in a laboratory during which time the patient wears a temporary resin bridge made in the practice.
Removable Dentures
Removeable dentures, or false teeth generally are made of acrylic and resin. Dr. Nick does no longer does denture work routinely other than for temporary cases to get patients through the several months time frame that it would take to get to implant restorations.
Contact our Rogers dental office for more information about your options for tooth replacement.
***Clinical photos are original cases that were accomplished personally by Dr. Nick***

Meet Our Doctor:
Dr. Nick Yiannios
Born in New Haven, Connecticut, Dr. Nick Yiannios was the firstborn of a Greek immigrant who traveled to the U.S. to seek his Ph.D. in Organic Chemistry. Sharing his father’s passion for the arts and sciences, after high school, Nick Yiannios traveled to Texas seeking an education in microbiology, that branch of science that deals with microorganisms. After obtaining his B.S. in microbiology from Texas A&M University, his passions naturally led him into the dental profession. In 1993, Dr. Nick Yiannios graduated from the University of Texas Health Science Center at San Antonio ...