Same Day Crowns
Crowns are inevitable. Sooner or later we all hear the words, “…you need a crown." We place crowns on front or back teeth for many reasons. The purpose of the crown is to hold or “cap” what little is left of the tooth together, allowing the patient to retain a tooth that would not be predictably restorable otherwise.
Traditionally, crowns are made in an off-site dental laboratory after the dentist grinds down much of the top, and all four sides of the tooth to the gum line, effectively leaving a “stump”. A mold is then taken, a temporary restoration is placed on the tooth for several weeks, and the mold is sent to the lab. Some weeks later, the crown is returned to the dental practice at which time the patient is called back in to evaluate the fit, function, and cosmetics of the new restoration. Occasionally, the crown needs to be returned to the lab YET AGAIN, and the temporary replaced. Eventually, the crown is finally cemented in place… Talk about frustrating and inefficient for all of those involved!
CAD/CAM Same-Day Crowns in Rogers, AR
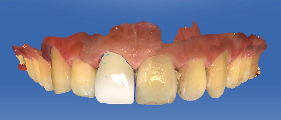
In contrast, CAD/CAM crowns constructed in the dental office provide patients with a much more efficient, desirable, and timely alternative, THE SAME DAY. Since no temporaries are involved, the CAD crown usually requires less tooth removal.
The ALL-CERAMIC restoration is capable of being bonded very strongly in place regardless of the geometry. This is in contrast to the traditional crown, where the retention of the crown is dependent upon radical removal of tooth structure to allow the crown to stay on top of the “stump”.
A special camera is utilized to obtain a digital impression rather than a physical mold. The experience is much more efficient and comfortable for the patient. Also, the instantaneous feedback that this digital image produces on the computer monitor for the dentist affords your doctor the opportunity to modify the tooth preparation in the event that things are imperfect. If imperfect, your dentist may simply re-image moments later.
Since these all-ceramic crowns are bonded directly to the tooth structure within hours, this usually eliminates the need for radical removal of all the walls to the gum line. This allows the retention of more NATURAL tooth structure. Sensitivity issues relating to bacterial leakage and seal are also reduced, as there is no temporary that will leak over time. This also decreases the likelihood of a subsequent root canal following the crown procedure.
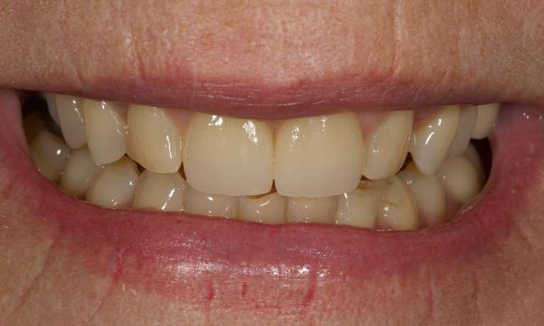
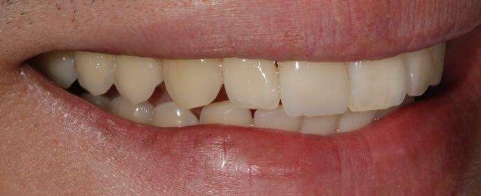
CAD crowns are made from beautiful porcelain that is not only totally customizable by a knowledgeable operator, but also allows the penetration of x-rays so that your dental professionals can visualize what is underneath the crown over the years. This again is in contrast to laboratory crowns, which are usually constructed of core materials that do not allow x-ray pass-through, effectively masking subsequent problems that might arise over time.
And let us not forget that this single visit convenience also allows this procedure to be accomplished with just one anesthetic injection!
Why don’t more dentists take advantage of this amazing technology for their patients? Due to the enormous economic and educational sacrifices necessary for the integration of CAD/CAM technology into a dental practice. In addition, many of the concepts involved in this technology are contrary to concepts of traditional dentistry.
BOTTOM LINE: WHEN THE PREPARATION AND FABRICATION PRINCIPLES OF A SINGLE VISIT, ALL-CERAMIC CAD/CAM CROWNS ARE APPLIED PROPERLY, THE ESTHETIC CAD/CAM CROWN WILL TYPICALLY FIT MORE ACCURATELY OVER A LESS INVASIVELY PREPARED TOOTH THAN A TRADITIONALLY PREPARED CROWN. ALSO, THESE CAD/CAM CROWNS TYPICALLY PROVIDE A LESS SENSITIVE AND MORE BEAUTIFUL ALTERNATIVE TO LABORATORY FABRICATED CROWNS.

***Clinical photos are original cases that were accomplished personally by Dr. Nick***