Skip to main content Accessible Version
Mercury-Free and Mercury-Safe Dentistry
Dentistry That Is Safe for Your Smile

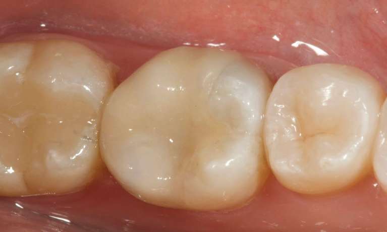
The mercury-free dentist does not place amalgam, instead, relying on gold, zirconia, composite, or ceramic porcelain alternatives.

Mercury-Free and Mercury-Safe Dentistry | Dentist
Leading-Edge Technology Streamlines Procedures
Want to Learn More?

Mercury-Free and Mercury-Safe Dentistry

Dental Amalgam/Mecury Fillings - Friend or Foe?

Invented by an English chemist in 1819, dental amalgam was, at the time, a revolutionary and cost-effective way of filling teeth after the removal of decay. When first introduced into the U.S. in the 1830s, the dentists of the time branched from 2 separate camps, the dentist-physicians, and the dentist-barbers. The former camp sought to prohibit the use of dental amalgam in humans and formed the American Society of Dental Surgeons, citing the toxicity of the heavy element mercury, which typically makes up 50% of the dental amalgam material. The ASDS prohibited its members from using the amalgam material, advocating the use of the more technique-sensitive gold instead. The latter camp embraced the dental amalgam filling as a cost-effective, and much simpler way of restoring teeth. Over time, economics prevailed and pro-amalgam dentists formed an organization that ultimately became known as the American Dental Association, which supported the use of the mercury fillings, and to some degree, does to this day.

In 1926, a German chemist identified that the amalgam fillings in his mouth emitted mercury vapor. In 1957, a Swedish scientist concluded that when saliva covers an amalgam filling, mercury vapor is no longer released. In 1976, the FDA grandfathered acceptance of amalgam fillings due to its long history of usage. In the late 1970s, research began to emerge claiming that brushing, chewing, grinding and the intake of hot liquids encourages the release of mercury vapor from these amalgam fillings. In the mid-’80s, autopsy research demonstrated that mercury levels found in brain tissue could be quantifiably linked to the amount of dental amalgam fillings in that cadaver's teeth. Around the same time, a Canadian Medical School demonstrated that mercury could be found in the fetus of a mother within weeks of conception. In 1991, the World Health Organization declared that human beings glean more exposure from dental amalgam fillings than from seafood, air or water, combined. Recently, Norway, Sweden, and Denmark have implemented a total mercury ban in their countries, which included a ban of dental amalgam fillings. Canada, Germany, and Austria have recently recommended against the placement of mercury amalgam fillings in pregnant women, children, and those with renal dysfunction. So is there a problem or not?

In my 20 years of dental practice, I personally have REMOVED tens of thousands of amalgam fillings, as normally a large percentage of the teeth in need of treatment present to me with old amalgam fillings. Many patients feel that these fillings have served them well for decades, at least until the amalgam is removed, at which time the cracks, dark stains, and recurrent dental decay usually found underneath convinces them otherwise.

In dental school, I was taught that substantial amounts of mercury vapor are released when one PLACES the amalgam and when one REMOVES it and that there are definite neurological ramifications linked to chronic mercury exposure. Knowing this, I have always avoided amalgam PLACEMENT like the plague. After all, I am the guy who is hovering above the oral cavity breathing in those vapors day after day. Not surprisingly, over the past 15 years, I can count the number of amalgam fillings that I have PLACED on my fingers and toes, instead of relying on very effective non-mercury alternatives.

Now briefly, some terminology in regards to a dentist’s philosophy in regards to amalgam is in order. There are mercury-safe dentists, mercury-free dentists, and then, of course, there are dentists that are neither.

The Mercury-Safe Dentist

The mercury-safe dentist feels that the vapors that mercury fillings emit when they are being REMOVED from the oral cavity demand special attention. Various protocols are in place, including rubber dams and/or elaborate intraoral vacuums (not just the normal hi-volume vacuums that dentists always use) that are designed to whisk away the vapors from not only the patient but the dental staff as well. Special dental burs combined with a technique known as chunking is employed to remove the old amalgam as quickly and in as few pieces as possible, thereby preventing overheating and discouraging mercury vapor release. On occasion, a supplemental breathing source may even be provided for the patient. Some mercury-safe dentists may even go as far as to recommend nutritional and chelating regimens to help patients purge their bodies of the elemental mercury that may have penetrated their organs and tissues. A very small percentage of dentists in the U.S. are mercury-safe dentists.

The Mercury-Free Dentist Does Not Place Amalgam, Period

Instead, they rely on gold, zirconia (a white, powdered metal oxide), composite (white filling), or ceramic (porcelain) alternatives. Some even go as far as to completely eliminate all metal-containing alternatives when possible. Keep in mind though that few mercury-free dentists can actually be classified as mercury-safe as well. Approximately 50% of the dentists in this country are mercury-free dentists.

The dentists that are neither, believe that the mercury vapor poses little if any risk and that placement of the mercury amalgam is of no immediate harm to the patient. They REMOVE and REPLACE without any specific protocols or precautions. Approximately 50% of the dentists in this country practice this way.

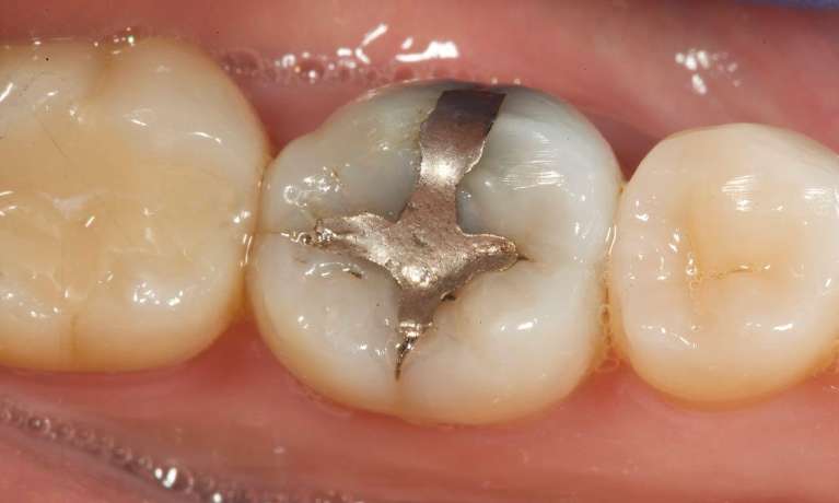
Are the metal alternatives safe? In general, yes, especially in regards to the gold-containing alloys. Gold is hard to beat in regards to biocompatibility and lifespan. It goes downhill from there though, as the non-gold-containing metal alloys can cause allergies in some patients. Using these metal alternatives, one can restore a tooth in a variety of ways. From least invasive to most invasive, they are inlays, onlays, and finally crowns. Many times dentists have their outsourced laboratory fabricate metal crowns with porcelain overlays. Have you ever seen someone with a white crown smile and you can see a dark ring around the gumline? Chances are excellent that you were observing a porcelain fused to metal crown. But what kind of metal? Be sure to ask. The dentist may not be using gold alloy-based metals, but the cheaper, more allergenic base metals containing materials such as nickel instead. The biggest problem that I see with the metal variety though, is that they are simply not minimally invasive, meaning that more tooth structure was removed than was necessary in contrast to other viable alternatives.

Our Mercury-Safe Protocol

Part of our mercury-safe dentistry protocol in Rogers involves the use of an Isolite® intraoral vacuum, which serves to whisk away toxic mercury vapors from the patient and staff as amalgam fillings are removed. This apparatus is connected to a powerful vacuum.

Another aspect of our mercury-safe protocol involves the use of a Jerome Mercury Vapor Analyzer, an extremely accurate mercury vapor detection device that has taught Dr. Nick Yiannios what REALLY HAPPENS in regards to the removal of mercury amalgam fillings. He has and continues to use this expensive technology to hone his amalgam removal protocols, doing as much as possible to protect his patients, his staff, and the environment from the related toxic effects.

White fillings or composites are great for smaller cavities if they are placed properly and under a dry field. They are very conservative and tend to mimic Mother Nature quite well. Zirconia is a very strong material, but over the years I have found that when porcelain is fused to this white substrate, as it usually is, the porcelain has a propensity to shear given that the properties of the two materials are quite dissimilar and that the tremendous forces generated in the oral cavity during mastication (chewing) can break the junction of the two layers over time. Ceramics are arguably the most beautiful, predictable, biocompatible, and non-allergenic alternatives provided that the occlusion, or bite, is given meticulous attention. A modern dental practice uses digital occlusal analysis to perfectly dial in the bite, rather than relying solely on the old-fashioned ink bite ribbons that dentists traditionally used to check the bite. In our office, we use primarily composites for smaller restorative situations and computer-aided design, computer-aided milling (CEREC CAD/CAM) ceramics for larger situations. Properly fabricated composites and ceramics work wonderfully, predictably, and beautifully in the vast majority of situations. In addition, these white, tooth-colored restorations are minimally invasive, meaning that the patient loses less tooth structure than with the traditional amalgam or metal-containing restorations.

So are amalgam fillings safe? I would say not, especially for children or expectant mothers, though it is not recommended that pregnant individuals expose themselves or their future children to the acutely toxic mercury vapors generated from placement or removal during pregnancy. As with most health matters, prevention is key, so if you are planning on becoming pregnant, at least refrain from having amalgam fillings placed, and instead consider composite, ceramic, or gold alternatives. Elective removal of present mercury amalgam fillings is something that you should research and discuss with your oral health care provider. Do I consider mercury amalgam fillings safe? Not for myself or for my family. As with all controversial health care subjects, do the research for yourself and you decide.

Contact your knowledgeable team at Dr. Nick D.D.S. for more information about mercury-free dentistry in Rogers, AR.

Frequently Asked Questions

The mercury-free dentist does not place amalgam, period. Instead, they rely on gold, zirconia (a white, powdered metal oxide), composite (white filling), or ceramic (porcelain) alternatives. Some even go as far as to completely eliminate all metal-containing alternatives when possible.

Are the metal alternatives safe? In general, yes, especially in regards to the gold-containing alloys. Gold is hard to beat in regards to biocompatibility and lifespan. It goes downhill from there though, as the non-gold-containing metal alloys can cause allergies in some patients.

Using these metal alternatives, one can restore a tooth in a variety of ways. From least invasive to most invasive, they are inlays, onlays, and finally crowns. Many times dentists have their outsourced laboratory fabricate metal crowns with porcelain overlays.

Have you ever seen someone with a white crown smile and you can see a dark ring around the gumline? Chances are excellent that you were observing a porcelain fused to metal crown. But what kind of metal? Be sure to ask. The dentist may not be using gold alloy-based metals, but the cheaper, more allergenic base metals containing materials such as nickel instead.

The biggest problem that I see with the metal variety though, is that they are simply not minimally invasive, meaning that more tooth structure was removed than was necessary in contrast to other viable alternatives.

Dr. Nick Yiannios is a mercury-safe and mercury-free dentist in Rogers, AR.

Meet Our Doctor:

Dr. Nick Yiannios

Born in New Haven, Connecticut, Dr. Nick Yiannios was the firstborn of a Greek immigrant who traveled to the U.S. to seek his Ph.D. in Organic Chemistry. Sharing his father’s passion for the arts and sciences, after high school, Nick Yiannios traveled to Texas seeking an education in microbiology, that branch of science that deals with microorganisms. After obtaining his B.S. in microbiology from Texas A&M University, his passions naturally led him into the dental profession. In 1993, Dr. Nick Yiannios graduated from the University of Texas Health Science Center at San Antonio ...

Take the Next Steps Towards a Healthier Smile!
Speak to Our Team