Skip to main content Accessible Version
Tooth-Colored Fillings
Tooth-Colored Fillings in Rogers

State-of-the-art plastic (composite resins) and porcelain materials can replace tooth structures lost to decay.

Tooth-Colored Fillings | Dentist
Tooth-Colored Fillings Are Durable and Aesthetic
Speak to Our Team

Tooth-Colored Fillings

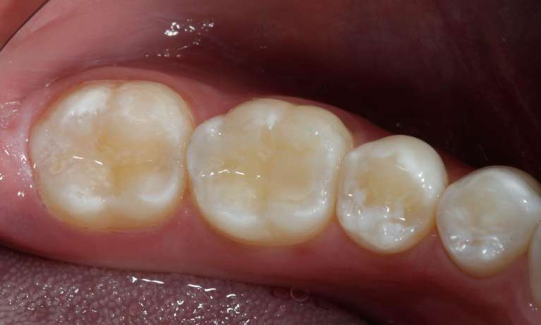
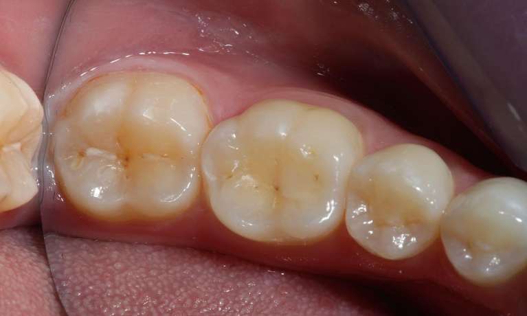
Replacing metal fillings/crowns with naturally appearing alternatives: Esthetic dentists no longer need to rely on unsightly metals to replace tooth structure lost to decay, but instead, they can use high density, state-of-the-art plastic (composite resins) and porcelain materials instead.

These materials more naturally mimic the look, feel, and function of natural teeth and actually bond directly to the remaining enamel and dentin. This means that new fillings preserve more of the natural tooth, so less repair work is necessary immediately and in the future.

These modern filling materials are also more natural in appearance; it’s almost impossible to tell that your tooth has a filling. In addition, dentists are using more tooth-like materials (composite resins and porcelains) that are both safe and predictable. The most important feature, for many people, is that they look and react more like natural teeth than do the older metallic materials of old.

 

Inlays and Onlays in Rogers, AR

An amazingly accurate, esthetic, and long-lasting option for larger fillings is known as onlays. These ceramic restorations can be created while the patient waits in about an hour using CAD/CAM technology and robotic milling of solid ceramic blocks. The blocks fit the missing prepared tooth structure to within microns tolerance and are bonded or fused to the remaining tooth structure, disallowing leakage. Additionally, they are virtually imperceptible to the patient. 

These ceramic alternatives are the best option for larger filling situations when the patient desires a natural-looking, esthetic restoration, which actually helps fuse the tooth together to an almost virgin state. Smaller filling situations are less susceptible to shrinkage issues, and the smaller surface area in need of filling is typically amenable to composite/white filling materials. 

Gone are the days of mercury-amalgam fillings in the esthetic dental practice! Contact our dental office in Rogers, AR to learn more about tooth-colored fillings.

Frequently Asked Questions

All composites and sealants used at Dr. Nick’s do not contain Bisphenol A, a chemical often used to create resins which have been implicated in adverse health effects.

 

Meet Our Doctor:

Dr. Nick Yiannios

Born in New Haven, Connecticut, Dr. Nick Yiannios was the firstborn of a Greek immigrant who traveled to the U.S. to seek his Ph.D. in Organic Chemistry. Sharing his father’s passion for the arts and sciences, after high school, Nick Yiannios traveled to Texas seeking an education in microbiology, that branch of science that deals with microorganisms. After obtaining his B.S. in microbiology from Texas A&M University, his passions naturally led him into the dental profession. In 1993, Dr. Nick Yiannios graduated from the University of Texas Health Science Center at San Antonio ...

Take the Next Steps Towards a Healthier Smile!
Call Our Team Now