Skip to main content
Accessible Version
Dr Nick DDS
Home
About
Meet Dr. Nick
Office Pictures
Services
View All
Same Day Crowns
Same Day Porcelain Veneers
TMJ Prolotherapy
Sensitive Teeth Resolved
Cosmetic and Esthetic Dentistry
Whitening Teeth
Mercury-Free and Mercury-Safe Dentistry
Straightening Teeth - Closing Gaps
Gum/Periodontal Disease
Replacing Missing Teeth
Bonding Teeth
Tooth-Colored Fillings
Family Dentistry
BOTOX® and Fillers
Dental Emergencies
Dental Implants
Headaches and Dental Medicine
Root Canals
TMJ, DTR, and Neural Occlusion
Snoring/NightLase
Ozone
PRF (Platelet Rich Fibrin)
Technology
View All
T-Scan, JVA, and EMG Technologies
Patient Visualization
MRI
Microscope Dentistry
Laser Dentistry
Jaw Tracking/Velocity/Digital Mastication Analysis
Isolite®
Digital Imaging
Diagnodent
CEREC® CAD/CAM
CBCT
Anomalous Medical Virtual Imaging
Air Abrasion
Accuvein
Gallery
Testimonials
Patient Info
View Patient Info
Traveling Patients
Forms
FAQs
Teaching
Contact
Dr Nick DDS
Schedule Appointment
Like us on Facebook
Follow us on Twitter
Visit us on Yelp
Watch our Youtube Videos
Connect with us on LinkedIn
Leave a Google Review
Pin us on Pinterest
Instagram
(479) 876-8000
3718 S Pinnacle Hills Pkwy
Rogers, AR 72758
Dr Nick DDS
>
Smile Gallery
Smile Gallery
The following cases were all accomplished and photographed by Dr. Nick Yiannios
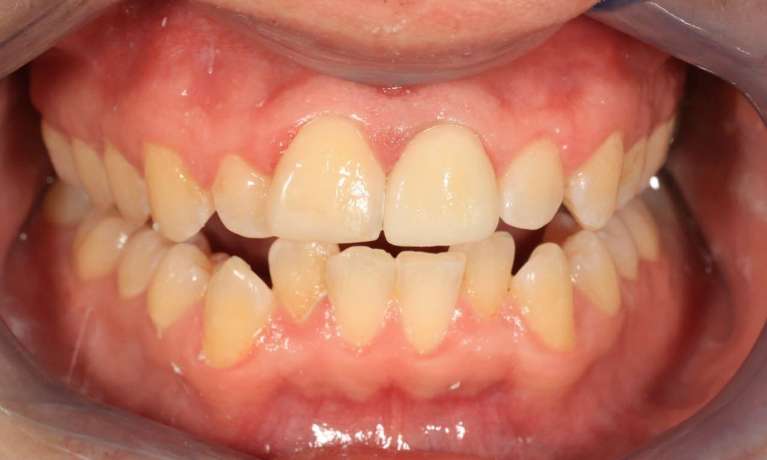
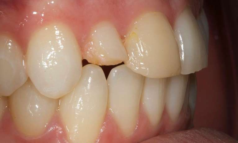
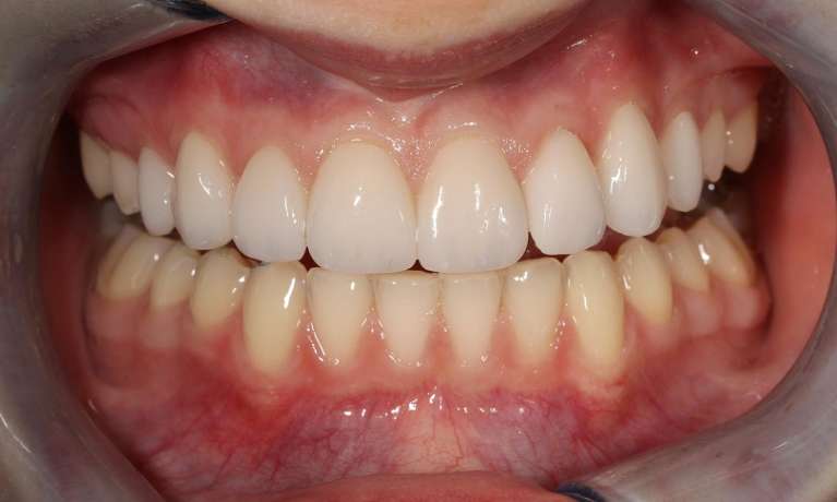
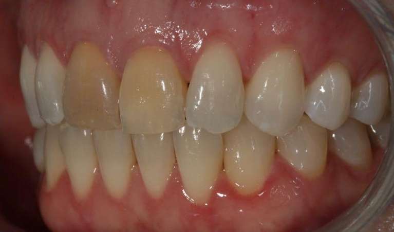
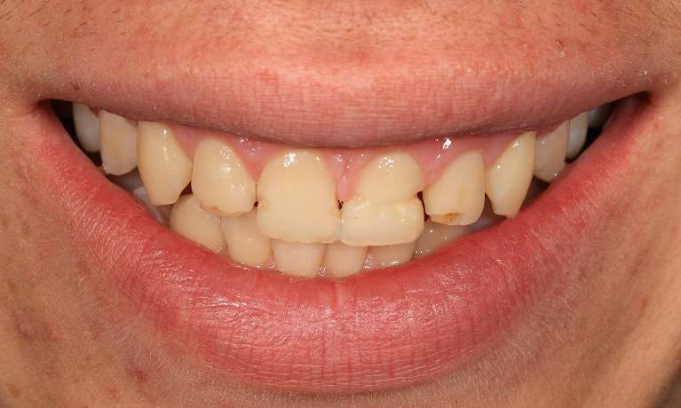
Before
After
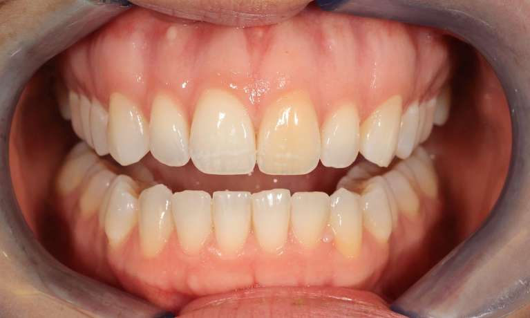
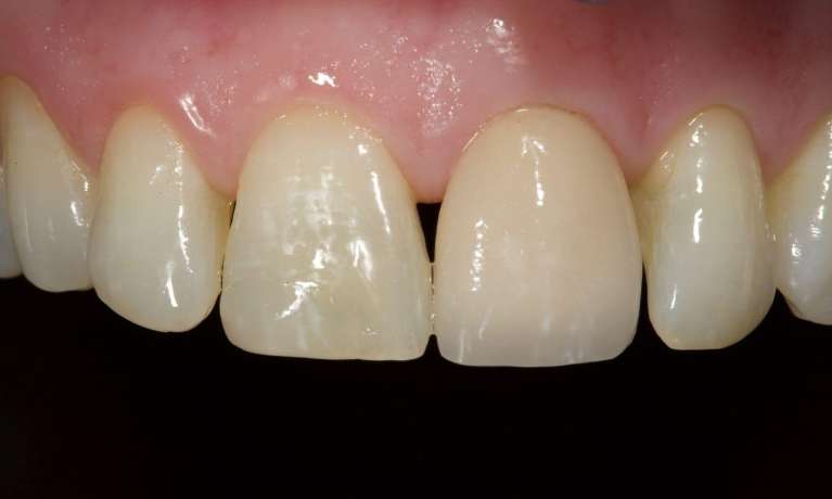
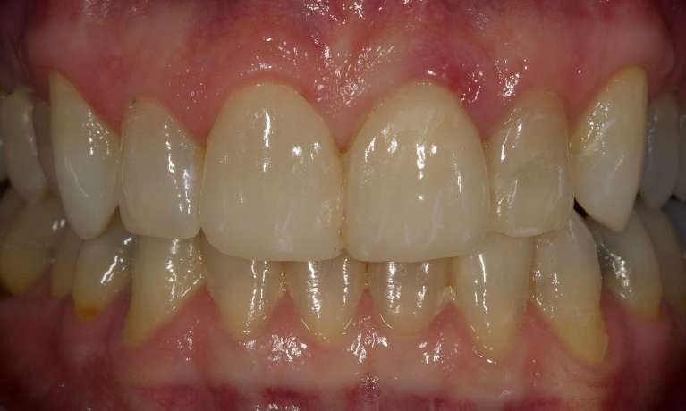
Before
After
CADSMILES Same Day Veneers Using CEREC Technology
Read More
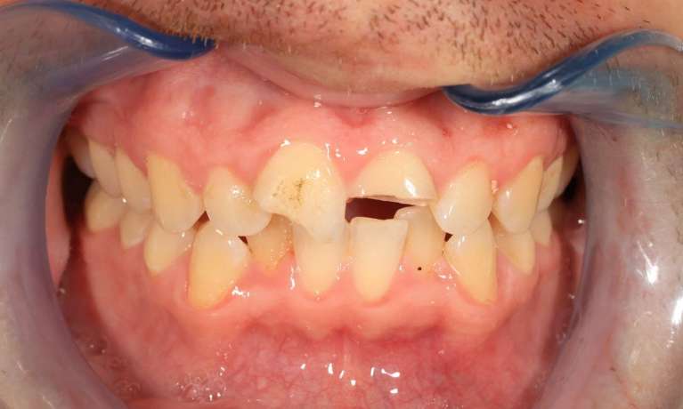
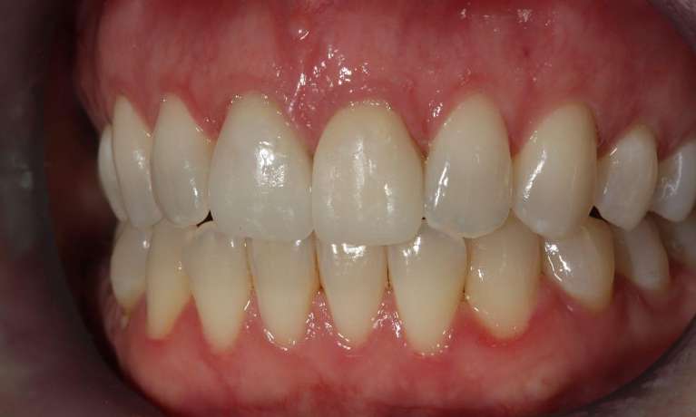
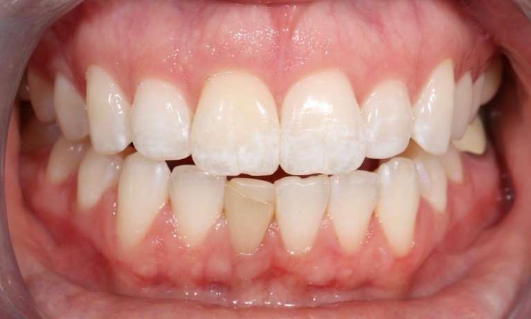
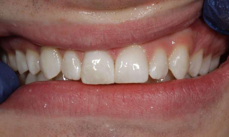
Before
After
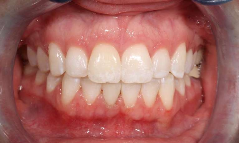
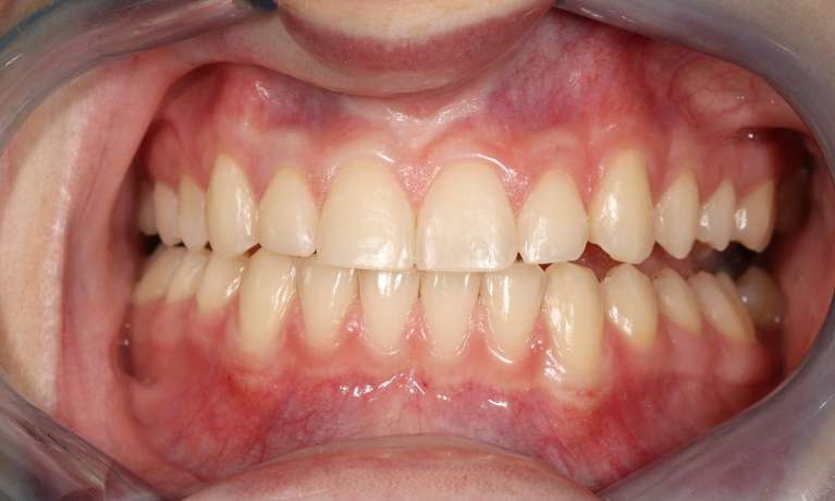
Before
After
Suresmile Orthodontic Aligner
Read More
Before
After
Before
After
CADSMILES Same Day Veneers Using CEREC Technology
Read More
Before
After
Before
After
CADSMILES Same Day Veneers Using CEREC Technology
Read More
Before
After
Before
After
CADSMILES Same Day Veneers Using CEREC Technology
Read More
Before
After
Before
After
CADSMILES Same Day Veneers Using CEREC Technology
Read More
Before
After
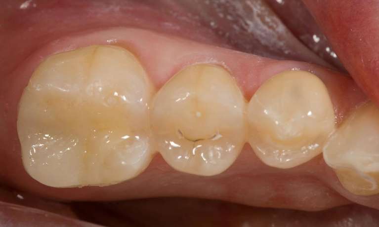
Replacing two old crowns with two CEREC same day crowns
Read More
Before
After
Replacing mercury amalgam cracked tooth with CEREC onlay
Read More
Before
After
Root canal post CEREC crown
Read More
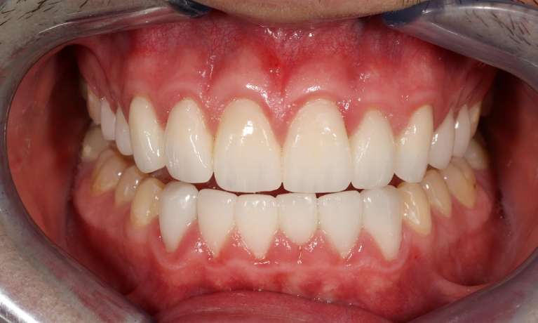
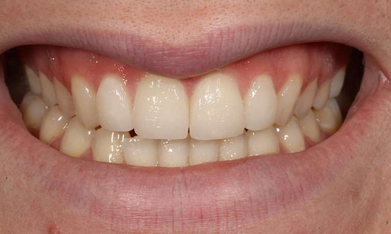
Before
After
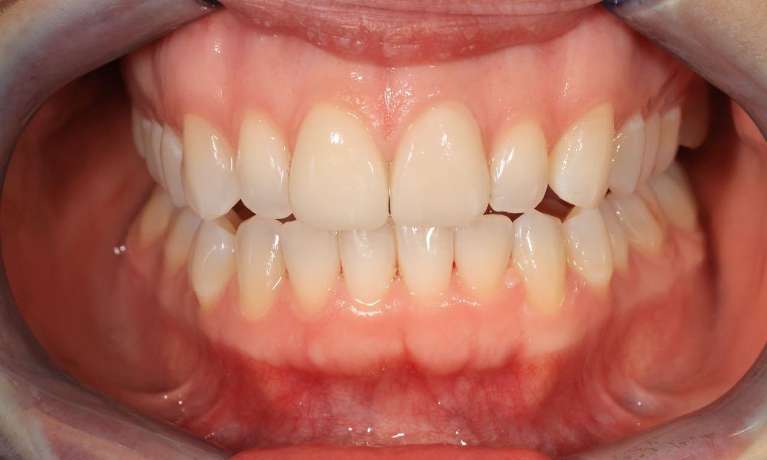
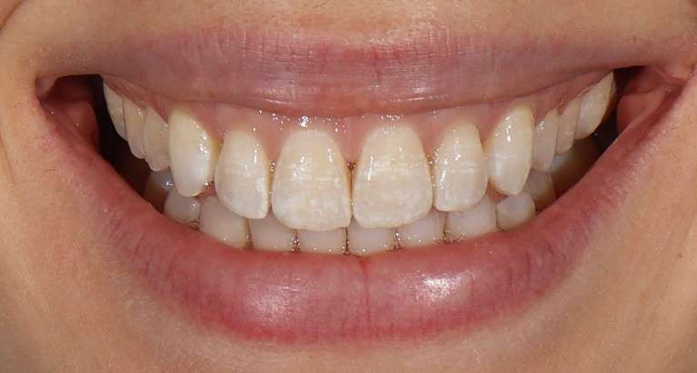
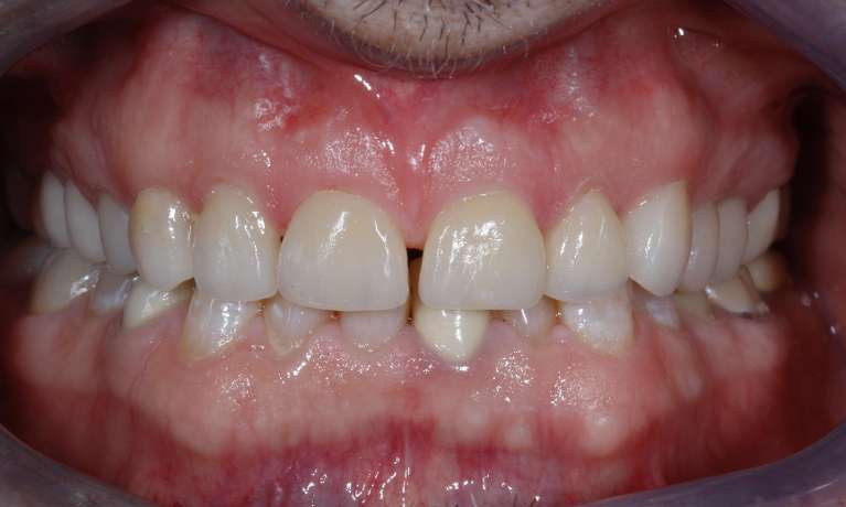
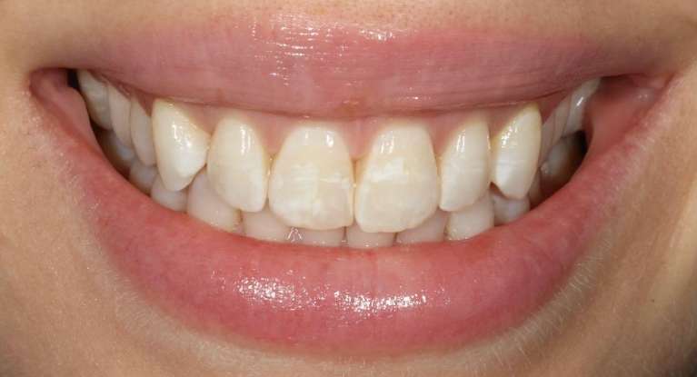
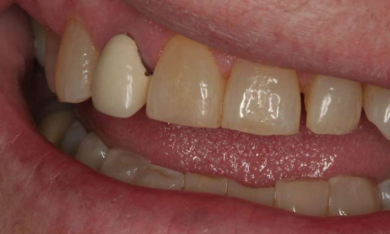
Two CEREC Same Day Veneers on Front Teeth
Read More
Before
After
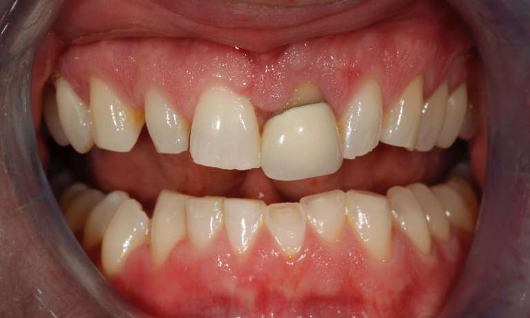
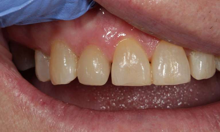
Single CEREC Veneer
Read More
Before
After
Two same day CEREC milled veneers
Read More
Before
After
Before
After
Veneers with CEREC same day technology
Read More
Before
After
Before
After
Veneers
Read More
Before
After
Same day veneers
Read More
Before
After
Same day ceramic veneers to repair two fractured front teeth
Read More
Before
After
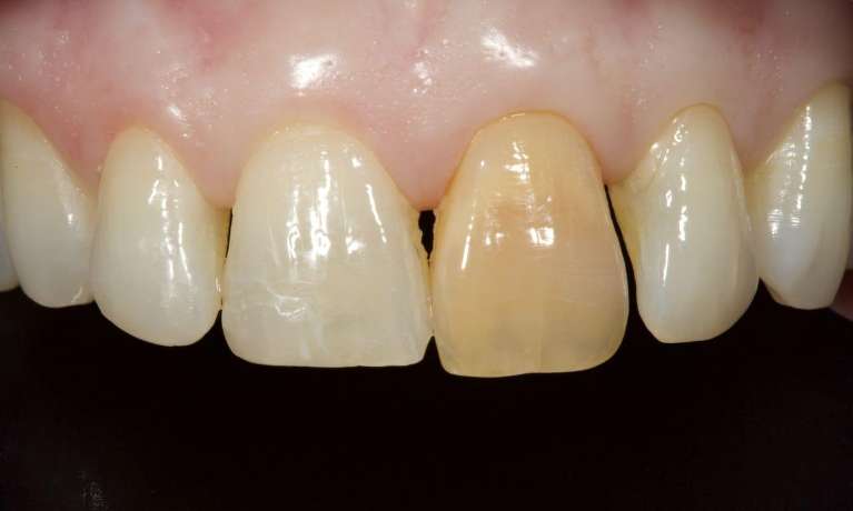
Same day veneer on dark lower tooth
Read More
Before
After
Single same day veneer for dark front tooth
Read More
Before
After
Same day porcelain veneers
Read More
Before
After
Same day porcelain veneers
Read More
Before
After
Before
After
CADSMILES Same Day Veneers Using CEREC Technology
Read More
Before
After
Before
After
CADSMILES Same Day Veneers Using CEREC Technology
Read More
Before
After
Before
After
CADSMILES Same Day Veneers Using CEREC Technology
Read More
Before
After
Before
After
CADSMILES Same Day Veneers Using CEREC Technology
Read More
Before
After
Before
After
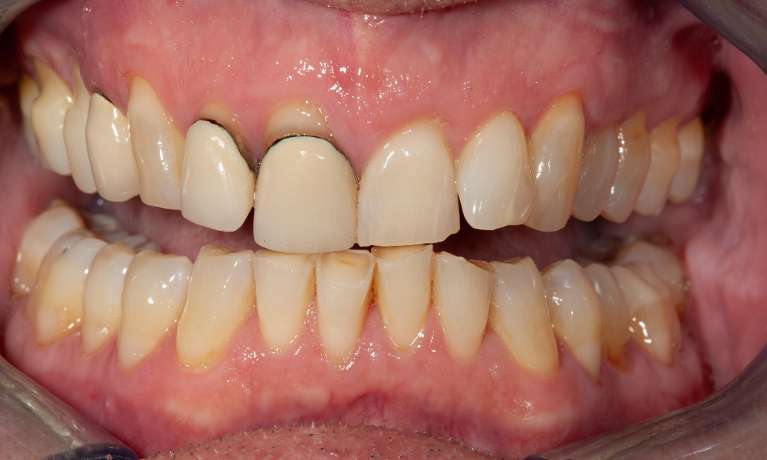
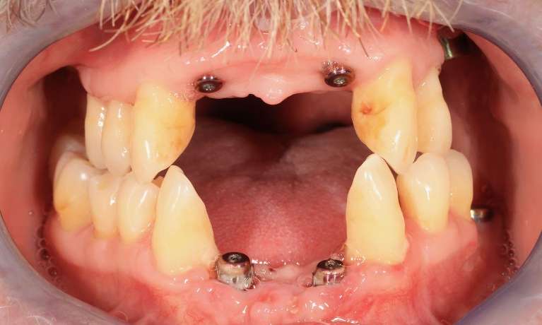
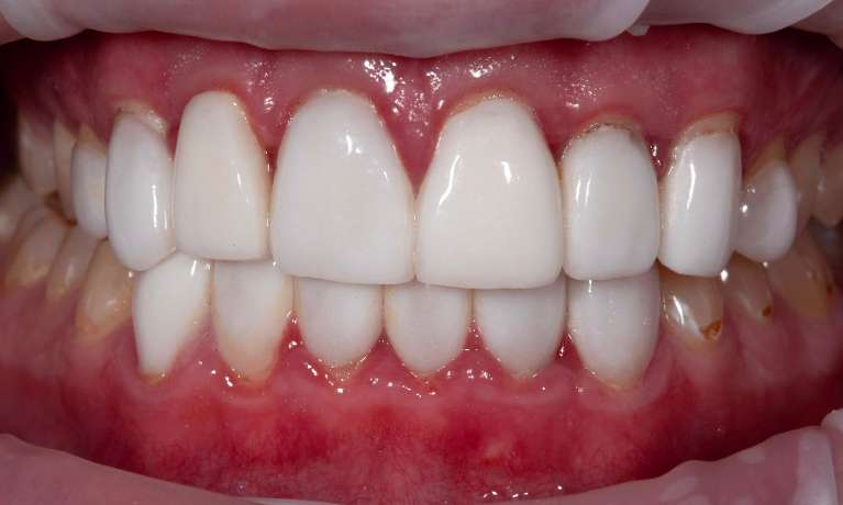
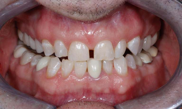
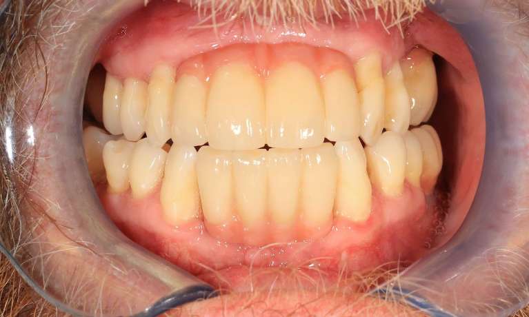
Implant Restorations
Read More
Before
After
CADSMILES Same Day Veneers Using CEREC Technology
Read More
Before
After
CADSMILES Same Day Veneers Using CEREC Technology
Read More
Before
After
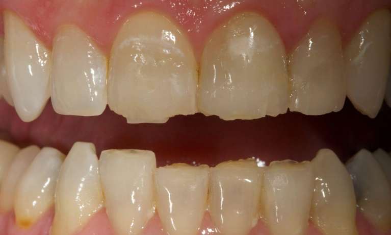
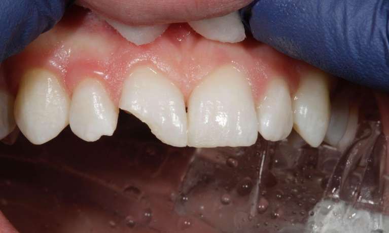
Chipped single front tooth before ceramic same day CEREC crown
Read More
Before
After
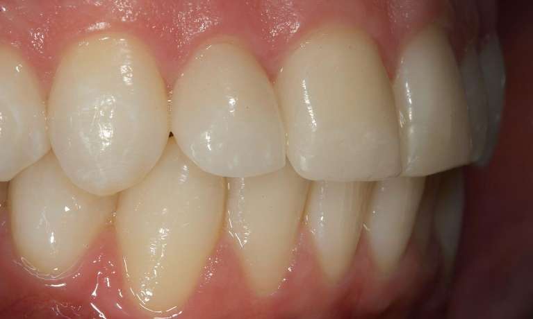
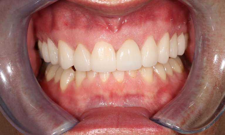
CEREC same day ceramic crowns, onlays, and veneers
Read More
Before
After
White composite filling using laser
Read More
Before
After
Laser Assisted Anterior Bonding
Read More
Before
After
Replacing an old crown with same day CEREC technology
Read More
Before
After
Two same day crowns after an accident
Read More
Before
After
Corrected Bonded Composite Fillings
Read More
Before
After
Laser Composite Bonding
Read More
Before
After
Laser Bondings
Read More
Before
After
Bonded Composite Veneers
Read More
Before
After
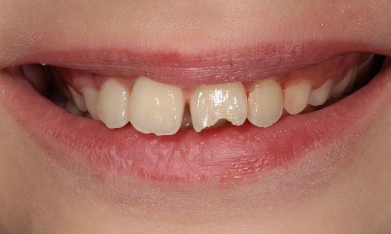
Bonding child's fractured front tooth
Read More
Before
After
Composite bonding on chipped front tooth
Read More
Before
After
Bonding to repair a chipped front tooth
Read More
Before
After
Cosmetic bonding on two front teeth
Read More
Before
After
Composite Tooth Bonding
Read More
Before
After
Composite Tooth Bonding
Read More
Before
After
Replacement of old lower bridge
Read More
Before
After
Tooth colored filling using an onlay
Read More
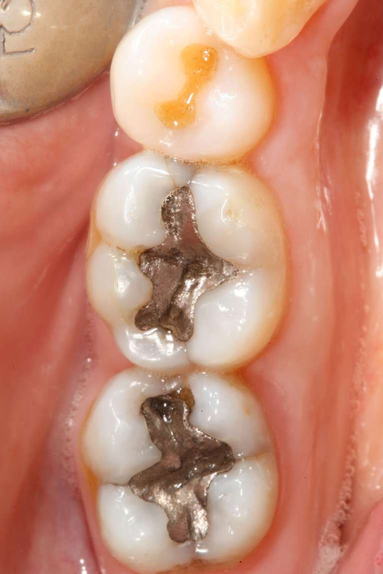
Before
After
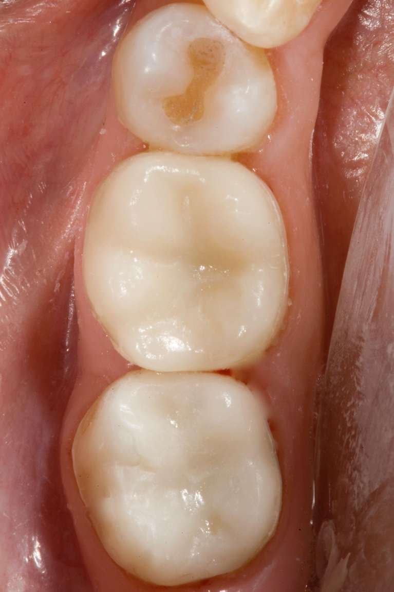
Old amalgams replaced with ceramic CEREC onlays the same day on both molars
Read More
Before
After
Nightlase: Snoring Solution
Read More
Before
After
Nightlase: Snoring Solution
Read More
Before
After
Nightlase: Snoring Solution
Read More
Before
After
Laser Composites
Read More
Before
After
Laser Composites - No shot, no drill after ortho hypocalcifications
Read More
Load More
Ready to book an appointment?
Schedule Now
Gallery Categories
Same Day Crowns
Same Day Porcelain Veneers
CEREC® CAD/CAM
Laser Dentistry
Mercury-Free and Mercury-Safe Dentistry
Straightening Teeth - Closing Gaps
Replacing Missing Teeth
Bonding Teeth
Tooth-Colored Fillings
Dental Implants
Root Canals
Snoring/NightLase
Can You Trust Dr Nick/
See More Testimonials
OK!
×
×
Contact Us Today
Give Us A Call
Dr. Nicholas C. Yiannios DDS -
(479) 876-8000
Send Us an Email
Book Online
Contact Us
Ready to Schedule an Appointment?
Book Online
Have Questions? Contact Us:
Required Field
Your Name:
Phone:
Email:
Are you a new patient?:
Are you a?
New Patient
Current Patient
How would you like us to contact you?
Please choose
Email
Call
How did you hear about us?
Please choose
I'm an existing patient
Google/Bing
Mailer
Word of mouth
Social media
Other
Who Referred You?:
Appointment Preferences
Monday
Tuesday
Wednesday
Thursday
Friday
Your Message:
This site is protected by reCAPTCHA and the Google
Privacy Policy
and
Terms of Service
apply.
Sending...
×
This Patient's Experience
Loading Testimonial...
Loading Case...