Skip to main content Accessible Version
Bonding Teeth
Dental Bonding in Rogers for Your Smile

In the right hands, tooth-colored materials can imperceptively mimic mother nature, even to a trained dental professional.

Bonding Teeth | Dentist
Excellent Solutions for a Beautiful Smile!
Book an Evaluation

Bonding Teeth

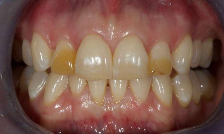
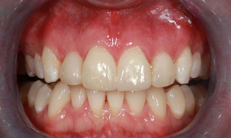
Composite/white filling materials are typically used for esthetic bonding of front teeth. In the right hands, these various tooth-colored materials can imperceptively mimic mother nature, even to a trained dental professional, IF a laundry list of steps are followed and high-quality materials are utilized in a bone-dry isolation field.

If your dentist does not routinely use a rubber dam or a vacuum apparatus known as an Isodry® to thoroughly dry the area to receive composite bonding, do not use this dentist.

Truth be told, many of these white fillings are not created equal. Some are designed for a lifelike appearance, while some are designed for strength. Some are cheaper and stain or break off readily, while others are far more expensive and tend to last longer while looking better, longer, as well. 

The white composite fillings are typically composed of synthetic resins, a photoinitiator (light-sensitive component catalyst which cures when exposed to certain wavelengths of light), and a silica filler. All of these materials shrink slightly when hardened. The key is to ensure that one drops these materials in place and then hardens them with light in a certain direction, applying the inevitable 1% shrinkage back towards the particular wall of the tooth that it is covering (rather than across the entire void of missing tooth structure), taking advantage of the shrinkage consequence. 

Ignoring this technique can readily lead to “debonds”, or the bonded filling falling off. Many dentists are either unaware of this fact or choose not to spend the time to initiate this practice.  Additionally, most dentists use only one type of material for all of their bonding. This is ludicrous. An esthetic dentist should have at his or her disposal a variety of different materials for different applications to truly provide the best service for his or her patients. 

Additionally, there is most certainly more than the science behind effective bonding. The doctor either has an innate artistic ability or doesn’t.

Another little pearl in regards to composites. The outermost layer of the bonding composite material has what is known as an oxygen-inhibited layer on it which does not fully cure or harden.  The dentist MUST apply a layer of glycerin over the material at the end stages of the bonding to effectively eliminate the oxygen by creating a vacuum with the glycerin, effectively curing the outermost layer of composite material. 

Ignorance to this practice will always result in the tacky outermost layer (which is readily seen by the patient) staining and pitting in short order. There is little cosmetic or esthetic about a recently bonded front tooth that picks up stain within a few months of placement.

NOTE: Dr. Nick uses composite bonding materials free of BPA

Call Dr. Nick, D.D.S. in Rogers, AR to learn more about dental bonding.

***Clinical photos are original cases that were accomplished personally by Dr. Nick***

Meet Our Doctor:

Dr. Nick Yiannios

Born in New Haven, Connecticut, Dr. Nick Yiannios was the firstborn of a Greek immigrant who traveled to the U.S. to seek his Ph.D. in Organic Chemistry. Sharing his father’s passion for the arts and sciences, after high school, Nick Yiannios traveled to Texas seeking an education in microbiology, that branch of science that deals with microorganisms. After obtaining his B.S. in microbiology from Texas A&M University, his passions naturally led him into the dental profession. In 1993, Dr. Nick Yiannios graduated from the University of Texas Health Science Center at San Antonio ...

Book a Cosmetic Dental Evaluation with Dr. Nick
Get Started!