Skip to main content Accessible Version
MRI
MRI imagine assists in our TMJ/D diagnosis

MRI | Dentist
Improve your smile today – call to schedule a consultation!
Contact Us

MRI

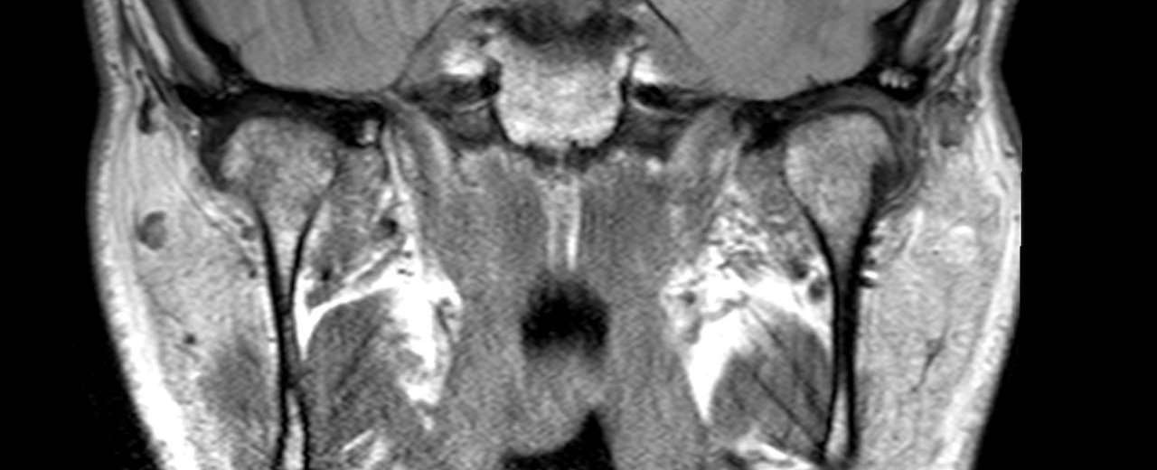
3-D MRI soft tissue imaging is used in Dr. Nick Yiannios’ practice to assist in TMJ/D diagnostics, and also to help vet a patients TMJs in cases where large restorative treatment plans are planned, when indicated, such as before the initiation of:

  • Same day cosmetic veneers
  • Full mouth reconstructions
  • And much more, when indicated 

After all, 2/3 of the human bite/occlusion are the orthopedic TMJs themselves; it’s not just the teeth coming together.  The joints affect the bite, via orthopedic biomechanics, and the TMJ cartilage, if damaged, often alters the bite.  This may or may not be problematic, but an MRI will typically tell Dr.Nick if indeed the former or the latter situation exists for a given patient. 

Few dentists actually understand how to objectively vet the TMJs, and the TMJ MRI data combined with TMJ CBCT data is literally the gold standard in TMJ diagnostics, and ultimately occlusal/bite diagnostics.  Dr. Nick’s CNO teaching center trains other dentists how to order, interpret, and implement diagnostic information about the TMJs gleaned from both TMJ CBCT and MRI. Local medical imaging centers and radiologists work with Dr. Nick to implement his TMJ MRI prescriptions, and a medical radiologist also inspects all of the MRI scans that the practice orders, looking for other medical pathologies that might be found within the scans.

“Dr. Nick teaching other docs how to read TMJ MRI at a Center for Neural Occlusion (CNO) course in his practice.”

 

 

Meet Our Doctor:

Dr. Nick Yiannios

Born in New Haven, Connecticut, Dr. Nick Yiannios was the firstborn of a Greek immigrant who traveled to the U.S. to seek his Ph.D. in Organic Chemistry. Sharing his father’s passion for the arts and sciences, after high school, Nick Yiannios traveled to Texas seeking an education in microbiology, that branch of science that deals with microorganisms. After obtaining his B.S. in microbiology from Texas A&M University, his passions naturally led him into the dental profession. In 1993, Dr. Nick Yiannios graduated from the University of Texas Health Science Center at San Antonio ...

Getting an appointment is fast and easy!
Get Started!