Accessible Version
Dr Nick DDS
Home
About
Meet Dr. Nick
Office Pictures
Services
View All
Same Day Crowns
Same Day Porcelain Veneers
TMJ Prolotherapy
Sensitive Teeth Resolved
Cosmetic and Esthetic Dentistry
Whitening Teeth
Mercury-Free and Mercury-Safe Dentistry
Straightening Teeth - Closing Gaps
Gum/Periodontal Disease
Replacing Missing Teeth
Bonding Teeth
Tooth-Colored Fillings
Family Dentistry
BOTOX® and Fillers
Dental Emergencies
Dental Implants
Headaches and Dental Medicine
Root Canals
TMJ, DTR, and Neural Occlusion
Snoring/NightLase
Ozone
PRF (Platelet Rich Fibrin)
Technology
View All
T-Scan, JVA, and EMG Technologies
Patient Visualization
MRI
Microscope Dentistry
Laser Dentistry
Jaw Tracking/Velocity/Digital Mastication Analysis
Isolite®
Digital Imaging
Diagnodent
CEREC® CAD/CAM
CBCT
Anomalous Medical Virtual Imaging
Air Abrasion
Accuvein
Gallery
Testimonials
Patient Info
View Patient Info
Traveling Patients
Forms
FAQs
Teaching
Contact
Dr Nick DDS
Schedule Appointment
Like us on Facebook
Follow us on Twitter
Visit us on Yelp
Watch our Youtube Videos
Connect with us on LinkedIn
Leave a Google Review
Pin us on Pinterest
Instagram
(479) 876-8000
3718 S Pinnacle Hills Pkwy
Rogers, AR 72758
Dr Nick DDS
>
Gallery
>
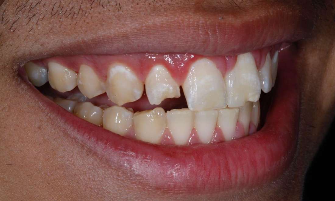
Cosmetic bonding on two front teeth
Cosmetic bonding on two front teeth
Return to Smile Gallery
Previous
Next
Related Services:
Bonding Teeth
Click image to see a larger picture
Before
After
Not finding what you need?
Schedule An Appointment
If you have difficulty using our website, please
email us
or call us at
(479) 876-8000
View the
ADA Accessibility Statement
Turn on ADA Views
Privacy Policy
OK!
×
×
Contact Us Today
Give Us A Call
Dr. Nicholas C. Yiannios DDS -
(479) 876-8000
Send Us an Email
Book Online
Contact Us
Ready to Schedule an Appointment?
Book Online
Have Questions? Contact Us:
Required Field
Your Name:
Phone:
Email:
Are you a new patient?:
Are you a?
New Patient
Current Patient
How would you like us to contact you?
Please choose
Email
Call
How did you hear about us?
Please choose
I'm an existing patient
Google/Bing
Mailer
Word of mouth
Social media
Other
Who Referred You?:
Appointment Preferences
Monday
Tuesday
Wednesday
Thursday
Friday
Your Message:
This site is protected by reCAPTCHA and the Google
Privacy Policy
and
Terms of Service
apply.
Sending...
×
This Patient's Experience
Loading Testimonial...
Loading Case...